El linfoma no Hodgkin es un tipo de cáncer que afecta el sistema linfático, pero a diferencia de lo que muchos piensan, no se atribuye a un descubridor específico. Su comprensión y clasificación han evolucionado con el tiempo, gracias a múltiples investigaciones y estudios realizados por diversos científicos. La distinción entre el linfoma de Hodgkin y el linfoma no Hodgkin se estableció más tarde, después de que Thomas Hodgkin describiera el linfoma de Hodgkin en 1832.
Este artículo explora la historia del linfoma no Hodgkin, destacando las contribuciones clave de los investigadores y los hitos en su clasificación. Además, se analizará la evolución de la comprensión de esta enfermedad y cómo la tecnología ha influido en su diagnóstico. Al final, se presentarán las diferencias entre los dos tipos de linfoma, proporcionando una visión clara y concisa de este tema complejo.
Información más importante:- El linfoma no Hodgkin no tiene un descubridor específico, su comprensión ha sido un esfuerzo colectivo.
- La distinción entre linfoma de Hodgkin y no Hodgkin se definió tras la descripción de Thomas Hodgkin en 1832.
- La clasificación del linfoma no Hodgkin ha evolucionado a través de investigaciones continuas y estudios clínicos.
- Avances significativos en la investigación han llevado a nuevas opciones de tratamiento y diagnóstico.
- La tecnología moderna ha mejorado significativamente la precisión en el diagnóstico del linfoma.
- Existen diferencias clave en los síntomas y tratamientos entre el linfoma de Hodgkin y el no Hodgkin.
Quién fue el pionero en la identificación del linfoma no Hodgkin
El linfoma no Hodgkin es un término que engloba un grupo de cánceres que afectan el sistema linfático. A diferencia de otros tipos de cáncer, no se puede atribuir su descubrimiento a una sola persona. En cambio, su comprensión ha sido el resultado de las contribuciones de múltiples investigadores a lo largo del tiempo. Cada uno de estos científicos ha aportado conocimientos valiosos que han permitido avanzar en la identificación y tratamiento de esta enfermedad.
A lo largo de la historia, varios médicos e investigadores han jugado un papel crucial en la identificación del linfoma no Hodgkin. Sus investigaciones han permitido clasificar y entender mejor esta enfermedad, aunque la distinción clara entre linfoma de Hodgkin y no Hodgkin se estableció más tarde. Este proceso ha sido fundamental para desarrollar tratamientos más efectivos y mejorar el pronóstico de los pacientes.
Contribuciones clave de los investigadores en su descubrimiento
Uno de los investigadores más destacados en el ámbito del linfoma no Hodgkin fue el Dr. Rudolf Virchow, quien en el siglo XIX contribuyó a la comprensión de los procesos patológicos que afectan el sistema linfático. Su trabajo sentó las bases para la identificación de varias enfermedades, incluido el linfoma. Virchow fue pionero en la idea de que las células cancerosas podían surgir de los tejidos linfáticos, lo que llevó a un mayor interés en el estudio de esta enfermedad.
Otro nombre importante es el del Dr. George W. Crile, quien en el siglo XX realizó investigaciones que ayudaron a diferenciar entre los distintos tipos de linfomas. Sus estudios sobre el comportamiento biológico de estas enfermedades fueron cruciales para el desarrollo de tratamientos más específicos. Además, el Dr. Samuel A. Levine también hizo aportes significativos al clasificar los linfomas, lo que ha permitido a los médicos entender mejor cómo abordar cada caso de manera individual.
Principales hitos en la clasificación del linfoma no Hodgkin
La clasificación del linfoma no Hodgkin ha evolucionado significativamente a lo largo del tiempo, reflejando cambios en la comprensión médica y en la terminología utilizada para describir esta enfermedad. Uno de los hitos más importantes fue la introducción del sistema de clasificación de la Organización Mundial de la Salud (OMS) en 2001, que proporcionó una estructura más clara y sistemática para categorizar los distintos subtipos de linfoma no Hodgkin. Este sistema se basa en características histológicas y biológicas de las células afectadas, lo que ha permitido una mejor identificación y tratamiento.
Otro momento clave en la historia de la clasificación del linfoma no Hodgkin fue la publicación del Clasificación de la Enfermedad Linfoide en 1982, que ayudó a establecer diferencias claras entre los linfomas de bajo y alto grado. Esta clasificación ha sido fundamental para guiar a los médicos en la elección de tratamientos adecuados y ha mejorado la comunicación entre profesionales de la salud. Con cada nueva investigación, la clasificación se ha ido refinando, permitiendo un enfoque más personalizado en el manejo de la enfermedad.
| Año | Descripción |
| 1982 | Publicación de la Clasificación de la Enfermedad Linfoide, estableciendo diferencias entre linfomas de bajo y alto grado. |
| 2001 | Introducción del sistema de clasificación de la OMS, proporcionando un marco sistemático para categorizar subtipos. |
Avances significativos en la investigación del linfoma
En los últimos años, la investigación sobre el linfoma no Hodgkin ha avanzado a pasos agigantados, resultando en nuevas opciones de tratamiento y enfoques más efectivos. Un estudio reciente realizado por el Instituto Nacional del Cáncer ha demostrado la eficacia de terapias dirigidas que atacan específicamente las células cancerosas, minimizando el daño a los tejidos sanos. Estas terapias han mostrado resultados prometedores en pacientes con subtipos agresivos de linfoma no Hodgkin, mejorando las tasas de supervivencia.
Otro avance notable es el uso de la inmunoterapia, que ha revolucionado el tratamiento del linfoma no Hodgkin. Investigaciones en inmunoterapia CAR-T, que modifica las células T del paciente para que ataquen el cáncer, han mostrado resultados alentadores. Este enfoque ha llevado a remisiones duraderas en pacientes que no respondían a tratamientos convencionales, ofreciendo una nueva esperanza en la lucha contra esta enfermedad.
Impacto de la tecnología en el diagnóstico del linfoma
La tecnología ha transformado significativamente el diagnóstico del linfoma no Hodgkin, mejorando la precisión y la rapidez en la identificación de la enfermedad. Las técnicas de imágenes avanzadas, como la tomografía por emisión de positrones (PET) y la resonancia magnética (RM), permiten a los médicos visualizar los tumores de manera más efectiva. Estas herramientas no solo ayudan a diagnosticar el linfoma, sino que también son cruciales para evaluar la respuesta al tratamiento y detectar recidivas.
Además, los análisis genéticos han emergido como una herramienta esencial en el diagnóstico del linfoma no Hodgkin. Al identificar alteraciones genéticas específicas en las células tumorales, los médicos pueden personalizar los tratamientos de acuerdo con las características del cáncer de cada paciente. Esta precisión en el diagnóstico ha llevado a un enfoque más dirigido y efectivo en el manejo del linfoma, mejorando los resultados para los pacientes.

Distinción entre linfoma de Hodgkin y no Hodgkin para mayor claridad
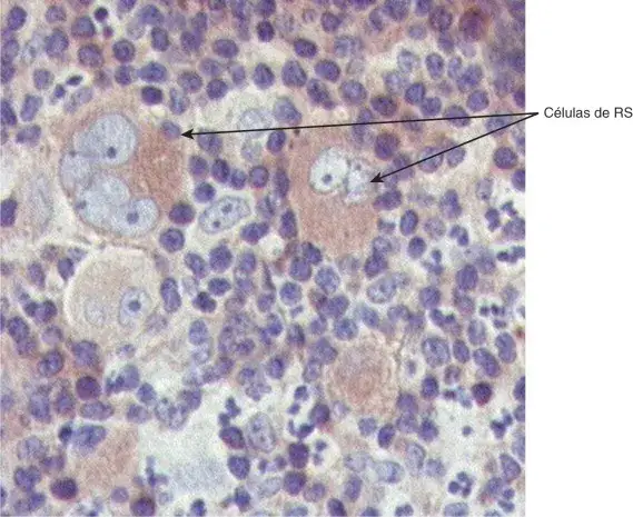
El linfoma de Hodgkin y el linfoma no Hodgkin son dos tipos de cáncer que afectan el sistema linfático, pero presentan diferencias clave en su comportamiento, síntomas y tratamiento. El linfoma de Hodgkin se caracteriza por la presencia de células de Reed-Sternberg, que son un tipo específico de célula anormal. En contraste, el linfoma no Hodgkin incluye una variedad más amplia de subtipos que no presentan estas células. Esta distinción es fundamental para determinar el enfoque terapéutico adecuado para cada paciente.
Además, los síntomas pueden variar considerablemente entre ambos tipos de linfoma. Mientras que el linfoma de Hodgkin suele presentar síntomas como fiebre, sudores nocturnos y pérdida de peso, el linfoma no Hodgkin puede manifestarse de manera más diversa, incluyendo ganglios linfáticos inflamados, fatiga y dolor abdominal. La identificación precisa del tipo de linfoma es crucial para establecer un diagnóstico correcto y planificar el tratamiento más efectivo.
Características únicas del linfoma no Hodgkin
El linfoma no Hodgkin abarca un grupo heterogéneo de cánceres que se originan en las células del sistema linfático. Una de las características más notables de este tipo de linfoma es su amplia variedad de subtipos, que pueden clasificarse según el tamaño de las células, su tasa de crecimiento y su comportamiento biológico. Algunos subtipos son indolentes, lo que significa que crecen lentamente, mientras que otros son agresivos y requieren tratamiento inmediato.
Los síntomas del linfoma no Hodgkin también son variados y pueden incluir ganglios linfáticos agrandados, fiebre, sudoración nocturna y pérdida de peso inexplicada. Además, algunos pacientes pueden experimentar síntomas relacionados con la producción de anticuerpos anormales, lo que puede afectar su salud general. La diversidad en la presentación clínica del linfoma no Hodgkin hace que cada caso sea único, lo que resalta la importancia de un diagnóstico y tratamiento personalizados.
Comparación de síntomas y tratamientos entre ambos tipos de linfoma
El linfoma de Hodgkin y el linfoma no Hodgkin presentan síntomas y tratamientos que difieren considerablemente, lo que es crucial para un diagnóstico adecuado y un manejo efectivo. En el caso del linfoma de Hodgkin, los síntomas más comunes incluyen ganglios linfáticos inflamados, fiebre, sudores nocturnos y pérdida de peso. Por otro lado, el linfoma no Hodgkin puede manifestarse con síntomas similares, pero también puede incluir fatiga extrema, dolor abdominal y erupciones cutáneas, dependiendo del subtipo específico de linfoma.
En cuanto a los tratamientos, el linfoma de Hodgkin generalmente responde bien a la quimioterapia y la radioterapia, y muchos pacientes alcanzan la remisión completa. En contraste, el tratamiento del linfoma no Hodgkin es más variable. Puede incluir quimioterapia, inmunoterapia y, en algunos casos, trasplante de médula ósea. La elección del tratamiento depende del subtipo de linfoma no Hodgkin, su agresividad y la salud general del paciente.
- El linfoma de Hodgkin se caracteriza por la presencia de células de Reed-Sternberg y tiene un tratamiento más estandarizado.
- Los síntomas del linfoma no Hodgkin son más variados y pueden incluir síntomas sistémicos como fiebre y sudoración nocturna.
- El tratamiento del linfoma no Hodgkin es más personalizado, variando según el subtipo y la respuesta del paciente a la terapia.
Read More: Quién descubrió el palacio de Cnosos y su impacto histórico en Creta
Avances en la investigación genética del linfoma no Hodgkin
En la actualidad, la investigación sobre el linfoma no Hodgkin se está centrando en el análisis genético de las células tumorales, lo que promete revolucionar la forma en que se diagnostica y trata esta enfermedad. Técnicas avanzadas como la secuenciación de nueva generación permiten identificar mutaciones específicas y perfiles genéticos que pueden influir en el comportamiento del linfoma. Esta información no solo ayuda a clasificar el tipo de linfoma de manera más precisa, sino que también abre la puerta a tratamientos personalizados que se dirigen a las anomalías genéticas específicas de cada paciente.
Además, el uso de biomarcadores en el diagnóstico del linfoma no Hodgkin está en aumento. Estos biomarcadores pueden predecir la respuesta a ciertos tratamientos, permitiendo a los médicos adaptar las terapias a las necesidades individuales de los pacientes. A medida que avanza la investigación, es probable que veamos una integración más profunda de la genética en la práctica clínica, lo que mejorará significativamente los resultados y la calidad de vida de los pacientes diagnosticados con linfoma no Hodgkin.
